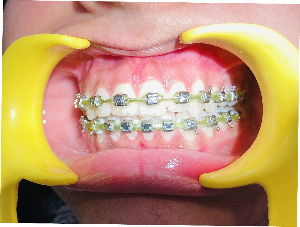
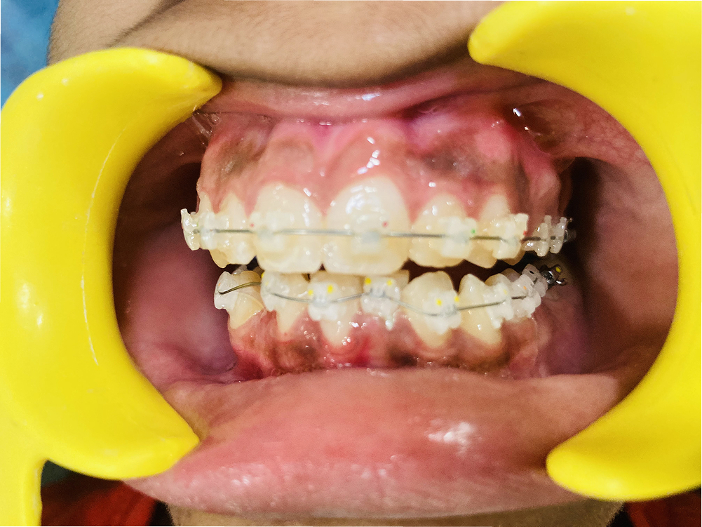
At LMS Dental, our orthodontic services are designed to help you achieve a healthy, straight, and confident smile. We offer a range of advanced treatments tailored to meet your individual needs. Traditional braces, available in metal or ceramic options, use gentle pressure to gradually align teeth for optimal results. For those seeking a more discreet option, our clear aligners (such as Invisalign) provide comfortable, removable, and nearly invisible treatment — allowing you to straighten your teeth without affecting your lifestyle. After your alignment treatment, retainers are used to maintain your new smile and prevent teeth from shifting back to their original position. We also provide specialized orthodontic appliances to correct bite issues and guide proper jaw growth, ensuring long-term oral health and balance. Whether you’re a teen or an adult, our orthodontic solutions are designed to enhance your smile’s appearance and functionality with precision and care.
Traditional Braces: Metal or ceramic brackets that gradually align teeth.
Clear Aligners: Removable, nearly invisible trays for teeth straightening.
Retainers: Maintain proper teeth alignment after treatment.
Orthodontic Appliances: Devices that correct bite issues and guide jaw growth.
At LMS Dental, we help you achieve a straight, confident smile with customized orthodontic care.
Our services include braces for effective alignment, clear aligners for comfort and aesthetics, and retainers to maintain lasting results. We also provide appliances that support jaw development and correct bite problems — ensuring a healthy, balanced smile for life.























Some mild discomfort is normal after adjustments, but it is usually temporary and manageable with over-the-counter pain relief if needed.
Yes. Retainers are essential to maintain teeth alignment after orthodontic treatment. Consistent use ensures long-lasting results.
Absolutely. Modern options like clear aligners allow adults to straighten teeth discreetly while improving both function and aesthetics.
Yes. Properly aligned teeth are easier to clean, reducing the risk of cavities, gum disease, and jaw problems.